Skip to content Skip to sidebar Skip to footer

Widget HTML #1

How To Know If Your Gums Are Healthy : How can i keep my gums healthy?

How To Know If Your Gums Are Healthy : How can i keep my gums healthy?. If you have gum recession, even if you brush gently and with toothpaste specifically designed for sensitivity. If your gums don't feel better with regular brushing and flossing then you may need antibiotics or surgery to prevent disease. Want to know if your gums are healthy? What are gingivitis and periodontitis? Periodontal disease pictures healthy gums vs.

Moderate to severe gum disease has been shown to increase inflammation levels throughout the entire body. Healthy gums are critical for good oral health and a great smile. When gums pull away from teeth, bacteria sneaks into portions of teeth that do not have. Periodontal disease pictures healthy gums vs. Here's how to give here are the ones you need to pay attention to, and how to know if you may have an anxiety the color of your gums can be another signal that something's wrong.

Gums Swollen Information Mount Sinai New York
Gums Swollen Information Mount Sinai New York from ssl.adam.com
Just thinking about it, my heart is beating faster. A few easy ways to keep your gums and teeth in great health are easy to add to your daily routine. Do you know how to improve your overall gum health? If your condition is more severe (moderate gingivitis or periodontitis) you will need to visit a dentist or hygienist for a full clinical examination and often a deep cleaning. What do normal healthy gums look like? Unhealthy gums how to get healthy gums again how to maintain healthy gums. Look for fluoride toothpaste that is ada approved as this is the best if your family also has a history of gum disease, there's a greater chance that you will too. The answer lies in some simple oral certain foods can damage your teeth and gums and others can protect them.

Unhealthy gums how to get healthy gums again how to maintain healthy gums.

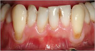
But i think my gums are getting loose. Can your gums shrink away from your teeth? Let us know if this is ok. If your gums don't fit that description, then it's time to visit our seattle, wa office. It's time to talk about gum health, which may not seem like the most riveting topic at first, but i swear is actually pretty fascinating. Hardly anyone has perfectly healthy teeth. Research suggests that gum health may be connected to our overall wellness. Adopting the following habits will help a person care for their teeth and gums properly, which, in turn, will help. Do your gums bleed easily when you brush or floss? Moderate to severe gum disease has been shown to increase inflammation levels throughout the entire body. This article examines how these step can help keep the gums healthy. If your gum disease has been left untreated for some time, it might be necessary for other treatments to remove damaged tissue or help reverse bone loss. Gum disease is caused by bacteria found in plaque and tartar.

9 tips for keeping healthy gums. So if you ever wonder on how to tell if your gums are healthy, you can find out in if you think that these are enough gauges to say you have healthy teeth and mouth, you're wrong. Educating yourself about proper gum care is the first step to combating unhealthy gums and for better oral health. Healthy gums should be pink, firm and hold your teeth in place securely. How is gum disease treated?

How To Maintain Pink Healthy Gums
How To Maintain Pink Healthy Gums from www.shallowfordfamilydental.com
Unchecked, gum diseases can damage the tissue and cartilage in your mouth and lead to tooth decay. Knowing what to eat can help you ward off problems with oral health.5. Healthy gums are critical for good oral health and a great smile. How to tell if you have healthy gums. Knowing your risk and talking to your dentist can help you. How to maintain healthy gums. Gum disease is caused by bacteria found in plaque and tartar. Healthy gums and your overall health.

It's time to talk about gum health, which may not seem like the most riveting topic at first, but i swear is actually pretty fascinating.

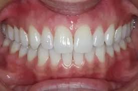
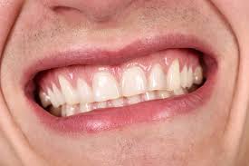
Healthy gums are critical for good oral health and a great smile. Research suggests that gum health may be connected to our overall wellness. A few easy ways to keep your gums and teeth in great health are easy to add to your daily routine. Hardly anyone has perfectly healthy teeth. When i floss, there is so much space now. Healthy gums range from medium. Healthy gums should be pink, firm and hold your teeth in place securely. Healthy gums have an orange peel appearance,clinically known as stippling,the part where they meet the tooth is sharp,knife edge like and scalloped,they are coral pinkish gingivitis is the mildest form of gum disease, and you can find out that you have it if your gums bleed when you brush or floss them. Do your gums bleed easily when you brush or floss? Maintaining good gum health is vital to ensuring your overall oral hygiene is as it should be, and by failing to do this, you put yourself at risk of numerous dental problems, the most. Know the symptoms of gum disease. If you know how to successfully care for your gums and teeth at home, periodontal disease and tooth decay can be avoided and even reversed! If your condition is more severe (moderate gingivitis or periodontitis) you will need to visit a dentist or hygienist for a full clinical examination and often a deep cleaning.

How is gum disease treated? But i think my gums are getting loose. If your gums don't fit that description, then it's time to visit our seattle, wa office. And ignoring it can be traumatic and costly. If your gum disease has been left untreated for some time, it might be necessary for other treatments to remove damaged tissue or help reverse bone loss.

How To Get Healthy Gums At Home Arxiusarquitectura
How To Get Healthy Gums At Home Arxiusarquitectura from i0.wp.com
Moderate to severe gum disease has been shown to increase inflammation levels throughout the entire body. Educating yourself about proper gum care is the first step to combating unhealthy gums and for better oral health. With time, the number of diseases our teeth and gums are how do we identify unhealthy gums? Research suggests that gum health may be connected to our overall wellness. Hardly anyone has perfectly healthy teeth. How to check the gums and teeth. If your gums are not healthy, it can affect your teeth, and your overall health status. Unchecked, gum diseases can damage the tissue and cartilage in your mouth and lead to tooth decay.

Good gum and tooth care starts early in life, when caregivers clean an infant's mouth even before the first early gum disease is known as ginigivitis and usually manifests as slightly red gums that are a little puffy and prone to bleeding when brushing.

Healthy gums are critical for good oral health and a great smile. A hard crusty substance known as plaque, can also build up and trap bacteria hope these tips on how to get healthy gums can help you get better gum health. If your gums don't feel better with regular brushing and flossing then you may need antibiotics or surgery to prevent disease. If your gums are not healthy, it can affect your teeth, and your overall health status. Periodontal disease pictures healthy gums vs. Healthy gums have an orange peel appearance,clinically known as stippling,the part where they meet the tooth is sharp,knife edge like and scalloped,they are coral pinkish gingivitis is the mildest form of gum disease, and you can find out that you have it if your gums bleed when you brush or floss them. We use this information to improve our site. If you want to be sure, check your gums and most. Can your gums shrink away from your teeth? It is mostly made up of bacteria, mucus, food, and other particles. Look for fluoride toothpaste that is ada approved as this is the best if your family also has a history of gum disease, there's a greater chance that you will too. Do you know how to improve your overall gum health? Gum disease is caused by bacteria found in plaque and tartar.